طفلة تولد في هونج كونج تحمل في احشائها جنينين

ولدت طفلة في هونغ كونغ وهي تحمل في احشائها جنينين لأخويها، الأمر الذي يعتبر نادرا جدا حيث يساوي معدل حالات وقوع جنين داخل جنين آخر أثناء الولادة حالة واحدة لكل 500 ألف ولادة.
يعتقد الأطباء من هونغ كونغ أنهم اكتشفوا جنينين صالحين من التوائم داخل جسم الطفلة المولودة الذي جرى دمجهما خلال فترة الحمل.
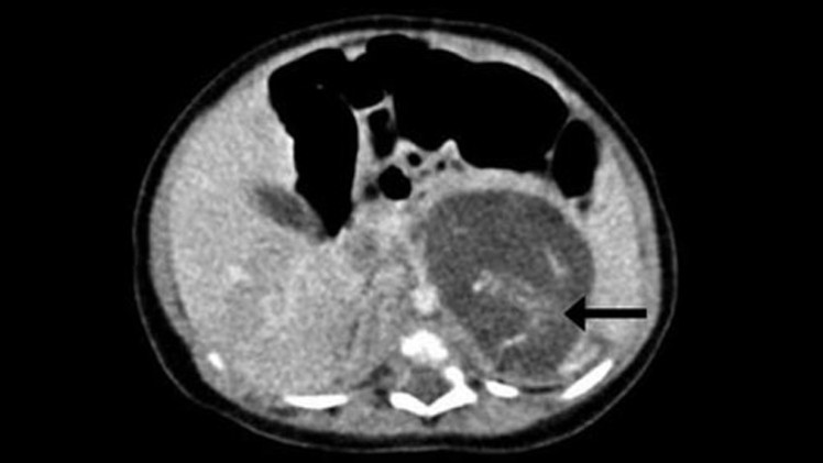
أظهر تصوير جسم جنين المولودة بالموجات فوق الصوتية الذي أجري قبل ولادتها وجود انتفاخ غريب في منطقة بطنها. وفي النتيجة أجرى الأطباء عملية لها بعد ثلاثة أسابيع من الولادة، حيث وجدوا جنينين بين كبدها وكليتها بوزن 9.3 غرام و14.2 غرام، ما يوافق فترتي الحمل لمدة سبعة وتسعة أسابيع.
على الأرجح كانت الطفلة المولودة توأما من التوائم الثلاثة أدمج منها جنينين صغيرين لأسباب غير معروفة، علما بأن هذين الجنينين كانا صالحين وقت الولادة وقادرين على النمو.
لم تكن حالة الطفلة المولودة هذه بجنينين داخلها أمرا شاذا بالمرة، فقد سجل الطب الحديث طوال كل تاريخه وقوع حالات كهذه نادرة جدا لوجود جنين داخل جنين آخر.
المصدر : وكالات



