حـواء و آدمخبر في صورةعلوم وتكنولوجيالك وحدكمنـــوعـــات

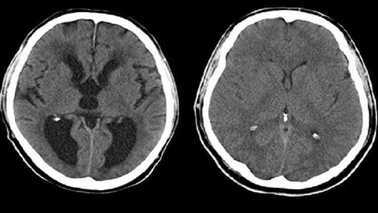
العلماء يحددون أسباب “استسقاء” الرأس عند المواليد الجدد

توصل علماء من الولايات المتحدة إلى نتائج جديدة حول أسباب استسقاء الرأس أو ما يعرف بتراكم السائل الدماغي في تجاويف وجيوب دماغ المواليد الجدد.

ووفقا لمجلة  Neuroscience  أكد العلماء أن من أسباب هذا الاستسقاء انخفاضا في تركيز بروتين معين في أجسام المواليد يسمى “البروتين SNX27” وهو نفس البروتين الذي يؤدي فقدانه في الجسم إلى ظهور متلازمة “داون”.

وأشار العلماء إلى أن SNX27 له وظائف مهمة في الجسم، فهو مسؤول عن نقل عدد من البروتينات ضمن السيتوبلازما  أو من خلال أغشية الخلايا، كما أثبتت التجارب على الفئران أنه في حال تم حجب هذا البروتين في الجسم فسيتسبب ذلك بمشاكل كبيرة في الذاكرة والقدرة على التعلم، وتلك المشاكل مشابهة إلى حد كبير لبعض الأعراض التي تتسبب بها متلازمة داون.

وأكد العلماء أن التجارب على الفئران أظهرت أيضا أن “الاستسقاء الرأسي” التي تصاب به القوارض سببه مشاكل في الخلايا “البطانية” لبعض تجاويف الدماغ ما يؤدي إلى تراكم السوائل في تلك التجاويف، ومشاكل الخلايا تلك يعود سببها إلى فقدان بروتين  SNX27.

والجدير بالذكر أن الجريان الصحيح لحركة السوائل في الرأس يمنع تراكمها في التجاويف الداخلية للدماغ، بالإضافة إلى أنه يساعد على التخلص من جزيئات “بيتا amyloids” المرتبطة بتطور مرض الزهايمر.

المصدر : روسيا اليوم

متابعينا علي فيسبوك
اضغط لتقييم المقال
نشكرك للتقييم ، رأيك يهمنا 🙂

مقالات ذات صلة

اترك تعليقاً

لن يتم نشر عنوان بريدك الإلكتروني. الحقول الإلزامية مشار إليها بـ *

زر الذهاب إلى الأعلى
إغلاق
إغلاق